- Home
- 寝方
タグ:寝方
-
坐骨神経痛になった時、痛みを和らげる3つの良い寝方
「坐骨神経痛になった時、痛みを和らげる3つの良い寝方」 坐骨神経痛になった時、炎症を和らげ症状を緩和するために必要なことは、安静にして神経の回復を図ることです。 坐骨神経痛の症状は、日常で立ったり、座ったり、… -
尾てい骨が痛い3つの原因と5つの対処法
JR亀有駅北口徒歩3分。夜20時30分迄受付。駐車場完備。尾骨が痛い時、治すのは何科がよいのか?尾骨痛を整体で改善する方法です。 -
腰が痛い時、痛みを和らげる3つの対処法
どのタイミングで治療に行けばよいか、どうしたら腰痛にならずに維持できるか、今すぐ出来る改善から予防までの7つのステップを解説致します。 -
産後の坐骨神経痛が治らない原因と対処法及びストレッチ
「産後の坐骨神経痛が治らない原因と対処法及びストレッチ」 妊娠中や産後に発症する坐骨神経痛で整形外科、整骨院や整体に通院しているもの症状が改善しない、これからどのように対処したらよいか、迷われている方も少なくありま… -
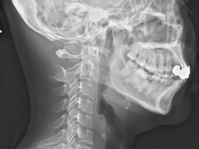
ストレートネックが治らない原因と診断及び治し方
「ストレートネックが治らない原因と診断及び治し方」 ストレートネックとは 首の正常な曲線は、通常レントゲン写真の側面から見た時、17㎝の半円を描いた前彎の曲線の位置になければなりません。 主な原因には、長時間の…





















