腰部脊柱管狭窄症とはどんな病気なのか?症状や治療方法について解説

この記事を読むのに必要な時間は約 14 分です。
「腰部脊柱管狭窄症とはどんな病気なのか?症状や治療方法について解説」
目次
腰部脊柱管狭窄症とはどんな病気なのか
中高年以降になり、歩くと脚の痛みで歩けなくなる、こんな症状を感じている人も少なくありません。
今回は、特に中高年以降に見られる脚の痛みやしびれを伴う症状である、腰部脊柱管狭窄症とは、どのような病気なのかを原因とともに解説していきます。
腰部脊柱管狭窄症とは
背骨の構造は、主に骨盤や腰仙関節の不安定性が続くと、加齢によって腰椎や椎間板の退化、背骨の中心である脊柱管は、変形し狭くなる傾向があります。
それにより、馬尾神経などを圧迫することで腰の痛みや足のしびれが起こることを腰部脊柱管狭窄症という疾患と言っています。
主に、脊柱管狭窄症は、男女差はなく50代以上の人に見られますが、生まれつき脊柱管が狭い人では、30代から症状がでる人もいます。
特に変形性腰椎症と診断された人は、骨の変性や椎間孔、関節面が狭くなることで、脊柱管狭窄症になる傾向が高まります。
その他、腰椎すべり症や仙骨後方変位により、狭窄症を発症する原因にもなります。
一般的には、腰の骨がずれることによって神経の通り道が狭くなる「腰椎変性すべり症」型と加齢によって神経の通り道が狭くなる「腰部脊柱管狭窄症」型の2つに分類されます。
以上2つの原因が多いことから、皆さんが現在どのタイプで狭窄症の症状を発症しているのか覚えておくと良いでしょう。

腰部脊柱管狭窄症の原因とは
まず、前述にもあったように、原因の多くは加齢によって腰椎が変化し、脊柱管が狭くなってしまったために起こります。
加齢といっても、必ずしも誰もが狭窄症になるとは限りません。
一番の原因となることは、生活環境の中で背骨がストレスを受け続け、骨や椎間板の変性をもたらすことにあります。
また先天的な原因(生まれつき脊柱管が狭い、弱い)の場合によって起こることもあります。
脊柱管の変形とはどういうことかというと、脊柱管は背骨椎間板、関節や黄色靱帯などで囲まれた脊髄の神経が通る場所で、加齢より背骨の変形や椎間板の変姓、黄色靱帯が厚くなることで脊柱管が変形します。
その他の原因には骨の変性や変形以外にすべり症を起こしている状態でも脊柱管狭窄症を起こすことがあります。
脊椎すべり症とは、下方にある骨に対して椎骨が前方に滑って、ずれている状態を言います。
また分離症に伴って起こるすべり症と、分離に伴わない変性すべり症とに分けられます。
後者の分離に伴わないすべり症は、退行性変性や椎間板の変性によるものが多く、腰部脊柱管狭窄症の原因となっています。
その理由は、すべり症を起こし、腰の骨がずれることによって神経の通り道が狭くなり、腰部脊柱管狭窄症となるからです。
すべり症とは、分離症で分離した部分より前にある椎骨が前に滑ることです。
また、分離に伴わない変性すべり症というものもあり、椎間板の変性によるものが多く、腰部脊柱管狭窄症の原因となることがあります。
腰部脊柱管狭窄症によって引き起こされる症状
腰部脊柱管狭窄症は、特有な症状を呈する場合が多く、日常どのような症状が引き起こされるのかを説明していきます。
長い距離を歩けなくなる
腰部脊柱管狭窄症の特徴は、歩行と休息を繰り返す間歇性跛行の症状です。
間歇性跛行とは、太ももやふくらはぎなどの筋肉が痛み、歩き続けることができない状態です。
一定の距離を歩くと、うずくような痛みやしびれ、疲労感を伴い歩行困難になり、ひどい人では100mも歩けないほど進行している状態です。
しばらく休息すると治まり歩行可能になるも、また歩き続けると痛みだすという症状が特長です。
腰部脊柱管狭窄症は、腰神経の圧迫で起こるにも関わらず、腰痛症状を感じることが少なく、安静にしている時はい痛みはほとんど感じることはありません。
間歇性跛行以外の症状では、背筋を伸ばして立っていたり、歩いたりすると、太ももや膝から下に痛みやしびれが出て歩きづらくなります。
間欠性跛行は、神経圧迫の状態により
①馬尾型
②神経根型
③馬尾型、神経根型の混合型
の症状を呈する場合があります。
馬尾型は、両下肢及び陰部のしびれ、知覚障害、歩行により症状が増悪します。
さらに症状が進行すると膀胱直腸及び排尿障害、排便障害がみられることがあります。
神経根型では、片側の臀部から大腿部、下腿部への放散痛、しびれがあります。
神経圧迫をうけている神経根によって痛みの出る部位や範囲が異なります。
症状が悪化すると下肢の筋力低下を認めることもあります。
進行すると常時しびれを感じる
腰部脊柱管狭窄症が進行し悪化すると、歩行中以外に安静にしているときにも、常時しびれを感じるようになります。
また症状が進行すると筋肉が落ちて下肢の力が入らなくなったり、腰痛がひどくなったりします。
その他肛門周囲のほてりを感じたり、排尿・排便機能が落ちてきたりすることがあります。
腰部脊柱管狭窄症の診断はどんな方法なのか
腰部脊柱管狭窄症の診断をする上では、どのような診断方法があるのか、どのような画像診断でわかるのかを説明していきます。
問診と身体診察での診断
問診では、腰痛や下肢痛はあるの、しびれを感じるのかを確認します。
そして、その部位や範囲を確認することから始まります。
身体検査では、間欠性跛行の有無を調べるため、下肢の筋力低下の確認や、知覚障害はないかの確認をします。
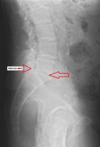
画像での診断
X線検査(レントゲン)では、骨のずれ、腰椎のすべり症などの異常がないか、骨折がないかを調べます。
骨以外にも椎間板が狭くなっていないか、身体の動きによる腰椎の不安定性はないかを確認する必要があります。
また、立位の状態で背骨のずれ、ゆがみ、変形を確認するため、立位全脊椎撮影を行うケースもあります。
X線検査だけでは、診断が困難な脊柱管内での神経の圧迫の状況などはMRI検査をし、その重症度を確認することがあります。
検査によって体内に、ペースメーカーなどの金属を入れている人は、MRI検査を行えないケースもあります。
脊髄造影とCT検査での診断
脊髄造影は(ミログラフィティー)とは、腰へ造影剤を注入して神経を撮影する検査です。
MRIでも診断できない脊柱管の状態を確認することがあります。
主に手術前に腰椎の骨の状態を確認したいときにも用いることがあります。
しかし現在は、MRIの普及により、あまり造影剤を使用した検査は行われていのが現状です。
脊髄造影の撮影後、より詳しく確認するために、CT検査を行う場合があります。
脊髄造影は、1日程度の入院が必要となり、また、アレルギーなどある場合は、検査できないケースもあります。
腰部脊柱管狭窄症の鑑別診断
腰部脊柱管狭窄症の診断で、注意しなければならない事項があります。
それは他の疾患でも同様な鑑別診断です。
診断は、必ず消去法によって、最終的に診断名を特定する必要があります。
特に間歇性跛行を呈する疾患は、狭窄症だけではありません。
鑑別診断する上で最も重要なものは、下肢の動脈塞栓症です。
別名、バージャー病とも言います。
脊柱管狭窄症と異なる点は、前屈位の姿勢でなくても、休息時に痛みが軽快すると言う点です。
両者の主な相違点は、痛みの起こり方、動脈拍動の有無、血管造影所見、脊髄造影所見で現されます。
腰部脊柱管狭窄症の治療はどんな方法なのか
どんな治療法でも緊急を要する症状以外は、一般的に保存療法が行われます。
手術は、最終的な選択肢として決めることです。
そこで腰部脊柱管狭窄症には、どんな治療方法があるのかをご紹介していきます。
保存療法
ここでお伝えする保存療法とは、主に整形外科で行われる薬物療法やブロック療法などを言います。
腰部脊柱管狭窄症の症状が表れてから、通常では数カ月間保存療法を行うことが多く見られます。
薬物療法では、内服薬と外用薬で鎮痛効果があるものを中心に使用され、痛みの経過を見ることになります。
ブロック療法とは、目的の患部へ直接、局所麻酔剤やステロイド剤を注入する治療です。
一時的に痛みを和らげるだけではなく、痛みによる反射的な血管の収縮や筋肉の緊張を抑制し、麻酔剤の効果が切れた後も継続的に痛みも和らげることが可能な時があります。
手術療法
腰部脊柱管狭窄症では、診断後すぐに手術が必要となることはないと思われます。
通常では保存療法を数カ月続けたが、痛みやしびれが強い場合や、下肢の筋力低下や膀胱直腸障害が確認できる際に行われる療法です。
また、生活がしづらいという理由で、手術を希望し受けるケースもあります。
手術の種類は2通りあり、患部の状態によって、除圧術(内視鏡手術)と固定術にわけられます。
症状にもよりますが例えばすべり症がある場合などでは、手術でプレートによる金具で固定されます。
手術を行う場合の入院期間は、除圧術は術後3~7日程度、固定術でも術後10~14日程度で退院可能です。
手術療法を受けた後の生活について
腰部脊柱管狭窄症では、手術方法や狭窄症の状態によりますが、手術の翌日や翌々日には歩くことができるのが一般的です。
リハビリは一般的に、寝起き動作や立ち座り動作、歩行動作などを数日間行います。
また、リハビリと並行して数カ月間コルセットを装着することになります。
シャワーは、手術後一週間程度で浴びることができるようになります。
職場復帰は、デスクワークの場合は、それぞれの状態で違うが、早くて1~2週間で復帰できる場合もありますが、症状によって時間を要する時もあります。
立ち仕事などが多い職場へは、手術後1カ月以上は安静にし、経過を見ながら復帰するのがよいかも知れません。
手術を受けたくないなら悪化させないことを考える
腰部脊柱管狭窄症の原因は、仕事や生活の中での動きに影響を受けた、背骨や骨格などのずれによるものが多いため、症状がひどくならないうちにできるだけ早期に背骨の矯正を受けるべきです。
悪化させないためには、重いものを持たないことや、反り返った姿勢をとらずに前屈みの楽な姿勢で生活するなどさまざまなことへ気をつかう必要があります。
背骨の歪みを正すことや、骨盤調整などが有効となるので、整骨院やカイロプラクティックで脊柱管狭窄症の施術ができる治療院へ通うことも効果的だといえます。
骨盤や、周りの筋肉や腱などの体全体の調整を行うことで、自然と姿勢が良くなり予防する効果も期待できます。
腰部脊柱管狭窄症の悪化は生活に影響!早めの治療を検討しよう
腰部脊柱管狭窄症は悪化すると、間歇性跛行などで私生活に影響がでてしまうことが多く、手術を受けることになると、長期間会社を休む必要もあるので、早めに改善・治療を検討することをおすすめ致します。
腰部脊柱管狭窄症を改善するには、今現在どのような状態なのかを患者さんの症状、病歴等をしっかり把握した上、レントゲン診断が重要になってきます。
脊柱管狭窄症は、様々な状況によって発症するためにどのようなタイプの狭窄症なのか?症状レベル、どのくらい症状が進んでいるのかなどを厳密に調べることが治療を進めていく上で大切なことです。
これから手術を検討している方、すでに手術をしたが再発してしまった方、保存療法で時間をかけてもしっかり根本から治していこうと思っている方など、これから腰部脊柱管狭窄症を治していこうと思っている方は、是非慎重に治療をする前にしっかりと病態を正しく知っておくことで正しい治療に繋がります。
現在インターネットの普及により様々な情報が飛び回っております。
沢山の情報を調べることでかえって正しくやるべき方法が定まらなくなることがあります。
患者さんは、正しい治療を受ける前にマイナスの点をいかに聞いておくかも必要です。
良い話ばかりではなく、マイナスの点も詳しく話してくれる先生というのは、様々な臨床経験をして自信があるので、例えマイナス面があってもそれを何とか防ぐような努力をしてくれます。
患者さんはそこをよく理解していただくことが必要だと思います。
興味のある方は、下記から無料登録ください。
毎月お得な情報及びメルマガをお届けしています。
Copyright © 整骨院の専門家が教える健康に関するブログ All rights reserved.

























